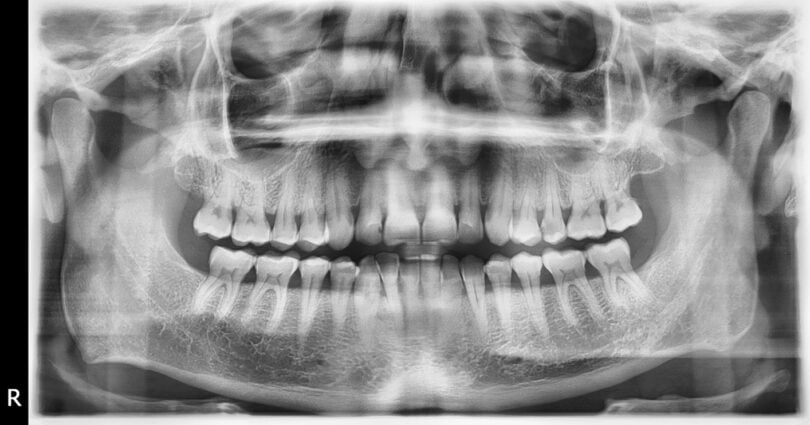
Há um novo software que permite aos médicos dentistas realizarem a análise de radiografias com base em Inteligência Artificial (IA) de forma mais rápida e precisa. O dentalXrai Pro foi desenvolvido para ajudar os dentistas a identificar patologias e restaurações, assegurando um tratamento ótimo e melhorando a comunicação com os pacientes.
De acordo com o Dental Tribune, o programa foi desenvolvido por dentistas da Charité-Universitätsmedizin Berlin – hospital universitário tanto da Universidade Humboldt como da Universidade Livre de Berlim –, na Alemanha, juntamente com cientistas de dados e programadores.
“[O dentalXrai Pro] eleva a medicina dentária a um nível normalizado, de alta qualidade e acelera imensamente a análise dos raios-X, para que os dentistas possam usar o tempo de forma mais eficaz para falar com os pacientes”, afirmou Falk Schwendicke, cofundador do projeto e chefe do Departamento de Diagnóstico Oral, Saúde Digital e Investigação de Serviços de Saúde da Charité, num comunicado de imprensa.
Como a maioria dos consultórios dentários já realizam radiografias digitais, estas podem ser facilmente transmitidas ao software, providenciando uma imagem rapidamente pré-analisada. Para tal, o software acede a computadores de alto desempenho e a uma série de algoritmos.
Os algoritmos são o resultado de uma extensa base de dados que “treinou” o software, através de um grande conjunto de dados de radiografias dentárias, incluindo imagens panorâmicas e de oclusão. Assim, médicos dentistas de todo o mundo identificaram dezenas de milhares de alterações patológicas e vestígios de tratamentos dentários anteriores nas radiografias. Os dados foram “carregados” nas redes neurais artificiais, permitindo-lhes distinguir entre diferentes descobertas, tais como cáries, infeções e preenchimentos de canais radiculares.
Segundo Schwendicke, “a IA não é responsável pelo exame dentário e não toma decisões sobre o tratamento”, contudo, facilita o processo e inclui os pacientes no diagnóstico, sendo quase como “uma segunda opinião de um colega digital”.
“Queremos utilizar as nossas redes e encontrar parceiros comerciais que possam trazer o nosso software aos consultórios dentários”, acrescentou.
O projeto foi financiado pelo Digital Health Accelerator do Instituto de Saúde de Berlim (BIH).


