O avanço tecnológico de materiais dentários para utilização em crianças que ocorreu nas últimas décadas torna necessária uma constante reavaliação da filosofia de tratamento e técnicas utilizadas. A restauração de molares temporários com tratamento pulpar pode representar um desafio em odontopediatria, nomeadamente em pacientes pouco colaborantes e pais com elevados requisitos estéticos. As coroas metálicas pré-formadas demonstraram uma elevada taxa de sucesso ao longo dos anos, mas apresentam como grande desvantagem o facto de não serem estéticas.
A zircónia é atualmente a cerâmica mais utilizada em medicina dentária, não sendo nova a sua indicação em adultos, no entanto, a sua utilização em odontopediatria é relativamente recente. 1 As coroas de zircónia pré-formadas para molares temporários têm demonstrado nos últimos anos uma eficácia equivalente às coroas metálicas pré-formadas. No entanto, a satisfação parental e das próprias crianças com a estética alcançada tem sido consideravelmente superior com as coroas de zircónia.2
O preparo dentário prévio à colocação de uma coroa de zircónia requer algumas considerações especiais, sendo a técnica consideravelmente diferente da realizada para a colocação de uma coroa metálica. Estas coroas têm de assentar passivamente e implicam a realização de um maior desgaste dentário.3 No que diz respeito à saúde gengival e acúmulo de biofilme, têm demonstrado melhores resultados do que as coroas metálicas4, sendo as coroas de zircónia mecanicamente polidas aquelas que apresentam um perfil de superfície mais suave.5
A falta de colaboração do paciente pode condicionar o alcance de resultados favoráveis ou mesmo impedir a realização de determinados tratamentos. A sedação consciente com inalação de protóxido de azoto é um método efetivo e seguro7, utilizado para reduzir o medo e a ansiedade e promover uma resposta psicológica positiva a longo prazo perante a necessidade de realização de tratamentos dentários, diminuindo consideravelmente o número de pacientes referidos para tratamento dentário com anestesia geral.6
T.G., paciente do sexo masculino, com quatro anos de idade, dentição temporária completa, sem antecedentes médicos relevantes e com história prévia de falta de colaboração nas consultas de medicina dentária.
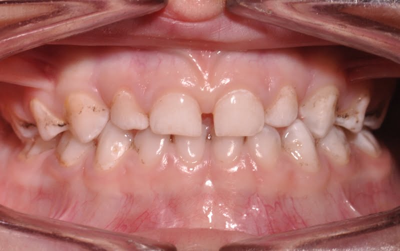
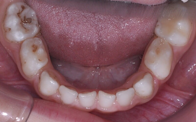
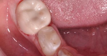
Foi realizado um exame clínico e radiológico inicial (fig. 1 a 3), tendo sido diagnosticada, entre outras lesões de cárie, uma lesão de cárie profunda com atingimento pulpar no segundo molar temporário inferior direito (fig. 3). Foi proposta a realização de uma pulpotomia com agregado trióxido mineral (MTA) e a colocação de uma coroa pré-formada. As várias possibilidades restauradoras foram apresentadas e discutidas com os pais, que decidiram optar pela colocação de uma coroa pré-formada de zircónia, por motivos estéticos.
Foi também sugerida a realização de sedação consciente devido à história prévia de falta de colaboração do paciente, tendo sido também aceite pelos responsáveis o recurso a esta técnica de controlo de comportamento, o que possibilitou a execução do plano de tratamento estipulado (fig. 4).
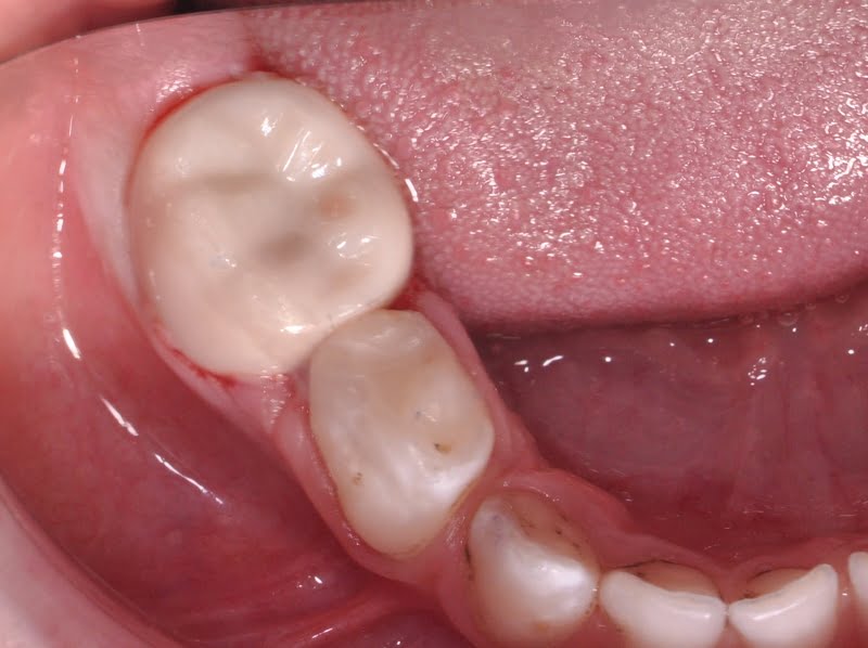
Após a anestesia e a colocação do isolamento absoluto com dique de borracha (fig. 5) foi iniciado o preparo dentário para a colocação de uma coroa de zircónia pré-formada, seguindo as instruções do fabricante. Inicialmente, foi realizada uma redução da superfície oclusal de 1-2 mm, seguindo o contorno oclusal, com uma broca em chama de vela diamantada (fig. 6). De seguida, foi efetuada uma redução supragengival de todas as paredes dentárias com uma inclinação ligeiramente convergente para oclusal. Foram eliminados os contactos interproximais e toda a coroa clínica foi reduzida em cerca de 20-30%, seguido de um cuidadoso desgaste com uma broca em fio de faca diamantada da margem da preparação, cerca de 1-2 mm infragengival, para eliminar todas as margens ou degraus. Todas as linhas de ângulo foram ligeiramente arredondadas (fig. 7).
Seguidamente, foi selecionada a coroa de tamanho adequado utilizando as coroas Try-In providenciadas pela marca (NuSmile®) (fig. 8). Posteriormente à seleção da coroa, foi realizada a pulpotomia com MTA, seguida da colocação de ionómero de vidro para obturação da cavidade pulpar.
Após limpeza da superfície dentária e controlo hemorrágico dos tecidos gengivais, a coroa de zircónia do tamanho previamente selecionado foi cimentada com um cimento resinoso (RelyXTM Unicem2 Automix, 3M ESPE) (fig. 9). Todos os excessos de cimento foram cuidadosamente removidos com recurso a sonda e fio dentário. Na mesma sessão foi também realizada uma restauração em compósito na parede distal do dente 84 (fig. 9).
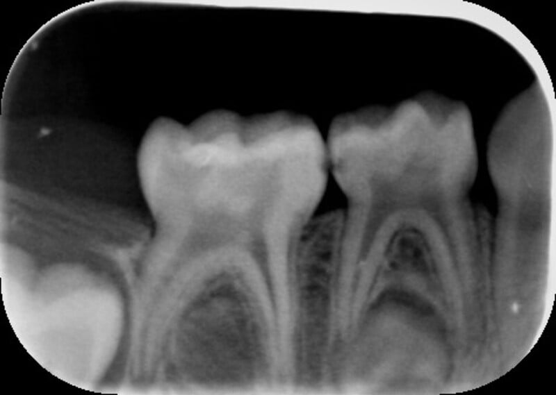
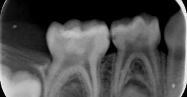
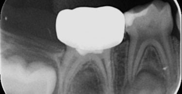
No exame clínico e radiográfico realizado seis meses após o tratamento, não foi referido nenhum sintoma nem foram observados sinais indicadores de fracasso (fig. 10 e 11). Na radiografia periapical é possível observar a presença de pontes de dentina à entrada dos canais radiculares (fig. 11).
A realização de tratamentos com alguma complexidade em crianças pouco colaborantes implica, por vezes, o recurso a técnicas de controlo de comportamento, como a sedação consciente com protóxido de azoto. No caso clínico apresentado, de um paciente com história prévia de incapacidade de colaboração, o recurso à técnica de sedação consciente possibilitou a realização de uma pulpotomia com ajuste de uma coroa de zircónica no dente 85 e da restauração distal do dente 84, numa só sessão.
A utilização de MTA em pulpotomias de molares temporários apresenta uma elevadíssima taxa de sucesso observável no plano radiográfico pela ausência de imagens radiolúcidas na região apical e da furca radicular, e pela presença de pontes de dentina na entrada dos canais radiculares.7,8,9
Atualmente, as coroas de zircónia pré-formadas para molares temporários representam, em muitos casos, uma alternativa estética. A taxa de êxito que apresentam é bastante semelhante à das coroas metálicas, no entanto, o seu preparo requer um maior desgaste dentário. A adaptação ao tecido gengival é muito favorável e a sua superfície é menos permissiva à acumulação de biofilme.
- Garg V, Panda A, Panchal P. Crowns in pediatric dentistry: a review. Journal of Advanced Medical and Dental Sciences Research 2016;4(2):41-6.
- Donly KJ, Sasa I, Contreras CI, Mendez MJC. Prospective Randomized Clinical Trial of Primary Molar Crowns: 24-Month Results. Pediatric Dentistry 2018 Jul 15;40(4):253-8.
- Lee H, Chae YK, Lee HS, Choi SC, Nam OH. Three-Dimensional Digitalized Surface and Volumetric Analysis of Posterior Prefabricated Zirconia Crowns for Children. Journal of Clinical Pediatric Dentistry 2019;43(4):231-8.
- Taran PK, Kaya MS. A Comparison of Periodontal Health in Primary Molars Restored with Prefabricated Stainless Steel and Zirconia Crowns. Pediatric Dentistry 2018 Sep 15;40(5):334-9.
- Walia T, Brigi C, Abdel Rahman M, KhirAllah M. Comparative evaluation of surface roughness of posterior primary zirconia crowns. European Archives of Paediatric Dentistry 2019; 20:33-40.
- Galeotti A et al. Inhalation Conscious Sedation with Nitrous Oxide and Oxygen as Alternative to General Anesthesia in Pre-cooperative, Fearful, and Disabled Pediatric Dental Patients: A Large Survey on 688 Working Sessions. BioMed Research International 2016 Article ID 7289310.
- Cardoso-Silva C, Barbería E, Maroto M, García-Godoy F. Clinical study of mineral trioxide aggregate in primary molars. Comparison between Grey and White MTA – A long term follow-up (84 months). Journal of Dentistry 2011;39:187-93.
- Çelik B, Mutluay M, Ankan V, San S. The evaluation of MTA and Biodentine as a pulpotomy materials for carious exposures in primary teeth. Clinical Oral Investigations 2019;23:661-6.
- Dimitraki D, Papageorgiou SN, Kotsanos N. Direct pulp capping versus pulpotomy with MTA for carious primary molars: a randomized clinical trial. European Archives of Paediatric Dentistry 2019 Online: https://doi.org/10.1007/s40368-019-00419-7.
Cristina Cardoso Silva
Médica dentista, licenciada pelo Instituto Superior de Ciências de Saúde Norte em 2003. Master em Odontopediatria pela Faculdade de Odontologia da Universidade Complutense de Madrid (UCM) em 2007. Master em Ciências Odontológicas pela Faculdade de Odontologia da UCM em 2009. Doutorada em Odontopediatria na Faculdade de Odontologia da UCM desde 2010. Professora associada de Odontopediatria na Universidade Fernando Pessoa. Professora colaboradora do master em Odontopediatria da Faculdade de Odontologia da UCM. Prática privada na clínica Manuel Neves – Clínica de Medicina Dentária, Lda. Autora de publicações em revistas nacionais e internacionais na área da odontopediatria. Autora de conferências nacionais e internacionais na área da odontopediatria.
























