Eduardo Anitua DDS, MD, PhD
- Clínica privada em implantologia oral, Eduardo Anitua Foundation, Vitoria, Espanha.
- Clinical researcher, Eduardo Anitua Foundation, Vitoria, Espanha.
- University Institute for Regenerative Medicine and Oral Implantology – UIRMI (UPV/EHU-Fundación Eduardo Anitua), Vitoria, Espanha.
Introdução
Os implantes curtos constituem mais uma das técnicas de reabilitação do maxilar atrófico que podemos considerar “rotineira”, sendo uma opção minimamente invasiva e com valores de sobrevivência que rondam os 99%1,2.
Através de inúmeros estudos, foi recentemente demonstrado que o recurso a implantes curtos e extracurtos constitui uma alternativa com complicações biológicas menores, menor custo e menor número de sessões cirúrgicas para os pacientes com grandes atrofias do maxilar e da mandíbula3-6.
Avanços recentes na conceção dos implantes BTI e na investigação biomecânica permitiram-nos desenvolver uns novos implantes extracurtos com um comprimento que oscila entre 5,5 e 6,5 mm, aumentando as possibilidades de tratamento em casos severos. Os implantes extracurtos são indicados para o tratamento das reabsorções verticais extremas quer para o maxilar, quer para a mandíbula, permitindo-nos oferecer uma alternativa minimamente invasiva reduzindo a morbilidade para o paciente, custos e tempo.
Um novo tópico nasce do uso destes implantes: a proporção coroa-implante. O comportamento biomecânico das proporções coroa-implante consideradas como “desfavoráveis” 7 está a adquirir um novo significado uma vez que as atrofias ósseas que nos permitem tratar este novo tipo de implantes está a gerar restaurações protésicas de dimensões desproporcionadas para o comprimento dos implantes sobre os que assentam.
Um parâmetro muito disseminado e aceite na prótese fixa convencional é a proporção coroa-raiz. Esta proporção pode-se definir como a medida desde a crista óssea alveolar do comprimento do dente até oclusal, comparando com o comprimento da raiz incluída no osso e, durante muitos anos, foi objeto de estudos para estabelecer a melhor relação entre ambas as zonas de modo a conseguir um comportamento biomecânico correto da restauração.7 Este parâmetro foi ampliado aos implantes sendo definida para eles a proporção coroa-implante. Esta proporção estaria muito descompensada para os implantes curtos e extracurtos já que apresentariam uma coroa muito grande para os implantes sobre os que assentariam. Apesar destas diferenças entre o comprimento das restaurações e os implantes parecerem indicar um mau comportamento biomecânico do conjunto com repercussão na perda óssea marginal aumentando a taxa de fracasso, os estudos publicados sobre este tópico não revelam uma maior perda óssea em rácios coroa-implante elevados, considerando rácios superiores a 2, uma opção terapêutica aceitável8-9. Apesar destas indicações, é um facto também comprovado que quando se aumenta a proporção coroa-implante, aumenta-se também a transmissão de força oclusal aos implantes e, consequentemente, ao osso crestal. Outro aspecto que não devemos esquecer quando falamos de proporções coroa-implante é o CHS (crown height space)8-11, definido como a distância desde a crista óssea até ao plano de oclusão. É uma medida muito mais sensível do que o rácio coroa-implante para detetar sobrecargas biomecânicas nos implantes. Por cada aumento do CHS de 1 mm, a carga cervical aumenta 20% à volta do pescoço do implante.
O seguinte artigo apresenta uma série de casos onde se analisou o rácio coroa-implante e a medida do CHS em implantes extracurtos e avalia a repercussão destes parâmetros na perda crestal.
Material e métodos
Foi feito um estudo retrospetivo selecionando pacientes com implantes extracurtos situados em setores mandibulares posteriores edêntulos, com um rácio coroa-implante superior a 3, um CHS superior a 15 e com um tempo mínimo de carga de 24 meses. Para todos os pacientes, foram recolhidas variáveis demográficas, presença de hábitos nocivos (tabaco e álcool), dados protésicos (rácio coroa-implante, CHS).
Para definir o rácio coroa-implante, o CHS e a perda óssea utilizaram-se radiografias panorâmicas calibradas através de um comprimento conhecido na radiografia tal como o do implante dentário.
O rácio coroa-implante foi determinado mediante a divisão do comprimento do implante pelo comprimento da restauração protésica colocada sobre o mesmo. A medição da altura da coroa realizou-se no eixo maior dos dentes anteriores e pré-molares e na zona média da coroa, a nível do sulco vestibular (intercuspídeo) para os molares, até à plataforma do implante. A linha de medição devia ser totalmente perpendicular à plataforma do implante formando um ângulo de 90º com a mesma. (figura 1).
O primeiro passo para medir o CHS foi traçar uma linha que representasse o plano oclusal na radiografia panorâmica. Desde um ponto de vista protésico, o plano oclusal é um plano imaginário delimitado pelas bordas incisais dos dentes anteriores mandibulares e a ponta das cúspides vestibulares dos pré-molares e molares inferiores6-9. Estes pontos foram identificados na radiografia panorâmica e traçou-se uma linha unindo-os. O segundo passo foi traçar uma linha reta que unisse o ponto mais alto da crista óssea em mesial e distal de cada um dos implantes incluídos no estudo. Finalmente, traçou-se uma linha perpendicular ao plano oclusal partindo do centro da linha da crista óssea; a medida linear obtida entre estes dois pontos foi o valor utilizado para o CHS6,7. (figura 1)
Análise Estatística
A recolha dos dados foi levada a cabo por dois examinadores independentes. O implante foi a unidade de análise para a estatística descritiva relativamente à localização, dimensões do implante e medições radiográficas. O paciente foi a unidade de medida para a análise da idade, sexo e historial clínico.
Foi efetuado um teste de Shapiro-Wilk sobre os dados obtidos, para constatar a distribuição normal da amostra.
As variáveis qualitativas foram descritas mediante uma análise de frequências. As variáveis quantitativas foram descritas através da média e do desvio padrão. A sobrevivência dos implantes foi calculada mediante o método de Kaplan-Meier.
Para determinar a relação existente entre o CHS e o rácio com a perda óssea foram realizados modelos de regressão linear ajustados. Foi considerado um valor de P<0,05 como estatisticamente significativo para o significado estatístico.
Os dados foram analisados com SPSS v15.0 para Windows (SPSS Inc., Chicago, IL, EUA).
Resultados
Finalmente, foram selecionados seis implantes em seis pacientes que cumpriam os critérios extremos estabelecidos de CHS superior a 15 e rácio coroa-implante superior a três.
A idade média dos pacientes foi de 52,5 anos e 66,6% (quatro pacientes) eram homens.
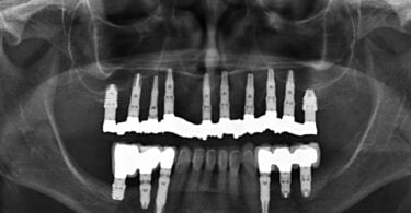
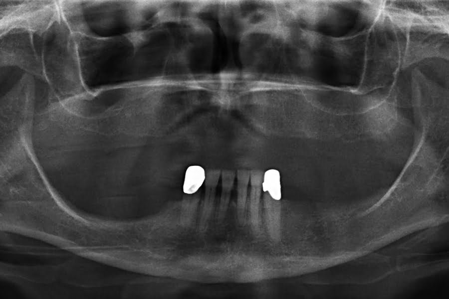
Quatro dos seis implantes foram de 5,5 mm de comprimento por 5 mm de diâmetro, um implante foi de 6,5 mm de comprimento por 3,75 mm de diâmetro e o último implante foi de 6,5 mm de comprimento por 5 mm de diâmetro (figura 2).
Cem por cento dos pacientes incluídos no estudo eram não fumadores. Apenas 17,3% dos pacientes selecionados apresentaram doença periodontal anterior à colocação dos implantes dentários enquanto 82,7% dos restantes pacientes apresentavam uma saúde periodontal correta de acordo com a classificação de Armitage de 1999. 66,6% dos participantes no estudo não apresentavam patologia sistémica concomitante. Dos restantes 33,4%, 16,7% padecia hipertensão arterial e estava com tratamento farmacológico para a mesma. 16,7% tomava ansiolíticos de forma habitual. O tempo médio de seguimento após os 6 meses de carga necessária para a inclusão foi de 23,18 meses (intervalo entre 13,9 e 42,63 meses) e não se registou nenhum fracasso nos implantes estudados durante esse período de tempo.
Em nenhum caso foram utilizadas técnicas cirúrgicas complementares na cirurgia de implantes e todos os implantes foram realizados em dois tempos cirúrgicos, com um tempo de espera de 3 meses até à carga.
A perda óssea crestal média observada no período de seguimento foi de 0,95 mm, sendo de 0,67 mm na zona mesial e de 0,57 mm na zona distal.
O CHS médio da coroa foi de 20,7 mm e o rácio médio de 3,31 mm.
Ao relacionar a perda óssea marginal distal com o rácio coroa-implante e o CHS não foram obtidos resultados estatisticamente significativos para a perda distal (p=0,85) e mesial (p=0,41).
Discussão
Através de inúmeros estudos, foi recentemente demonstrado que o recurso a implantes curtos e extracurtos constitui uma alternativa com complicações biológicas menores, menor custo e menor número de sessões cirúrgicas para os pacientes com grandes atrofias do maxilar e da mandíbula 3-6.
Baseando-nos nos dados relativos à prótese convencional caberia pensar que uma proporção coroa-implante tão desfavorável (3 para 1) teria consequências drásticas para os implantes extracurtos, mas os dados revelados por este estudo não confirmam esta hipótese. Outros estudos sobre o tema apresentam a mesma conclusão ao indicar que não existe relação entre o rácio desfavorável e a perda óssea crestal, ainda que não tenham avaliado desproporções tão extremas como as deste estudo8-9,11-12.
Nas restaurações com implantes extracurtos com proporção coroa-implante desfavorável também é importante considerar o valor do CHS uma vez que é muito mais sensível do que a proporção coroa-implante em casos extremos e, como tal, deveria ser a medida que indique o risco de perda óssea8.
Conclusões
Os resultados obtidos no nosso estudo sobre o CHS indicam-nos que o rácio coroa-implante superior a 3 e o CHS superior a 15 mm não tem nenhum efeito prejudicial para a perda óssea crestal, nem para a sobrevivência dos implantes estudados ou as próteses. No entanto, este parâmetro deve ser tido em consideração para o desenho das reabilitações de modo a evitar tensões crestais excessivas ou desnecessárias.
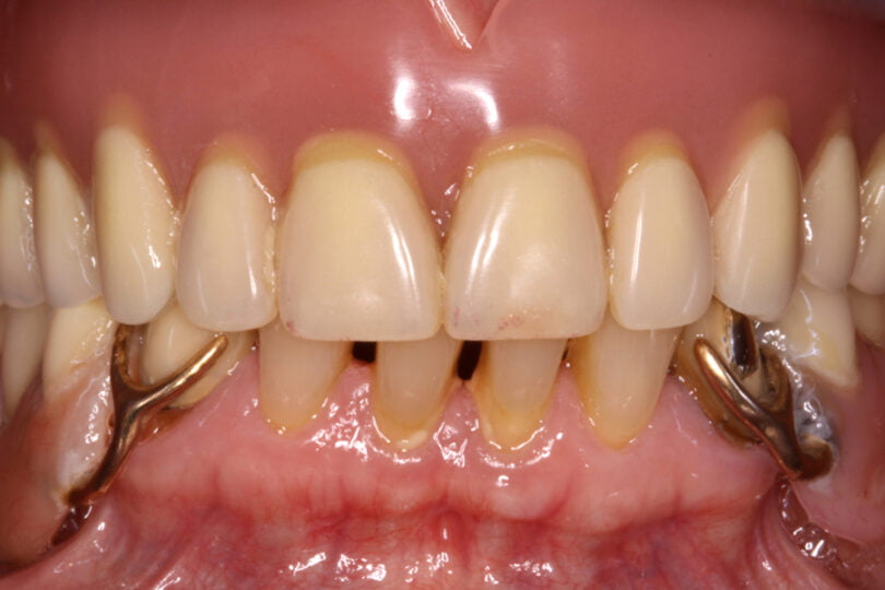
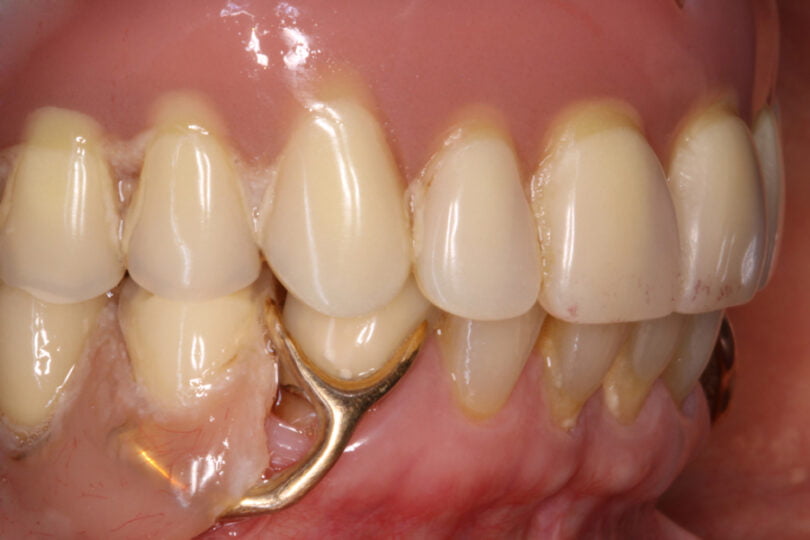
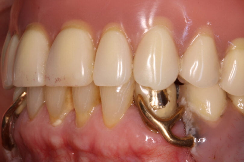
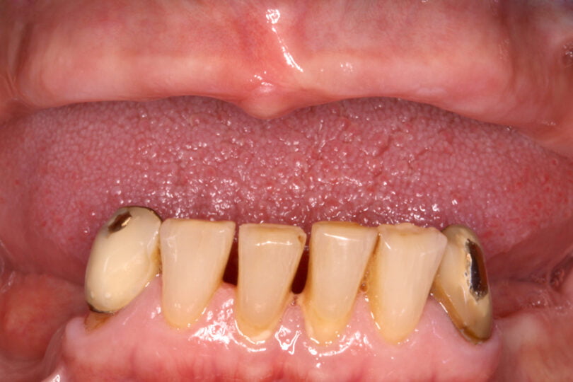
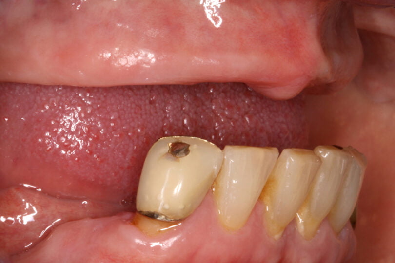
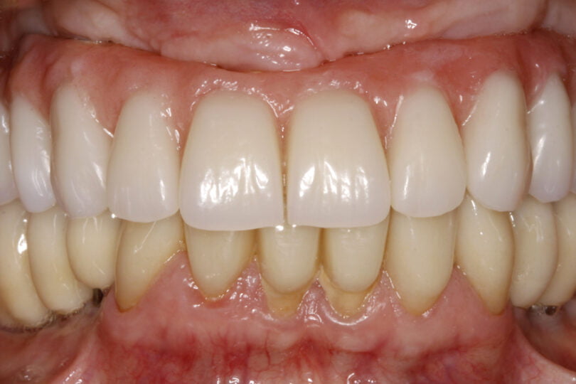
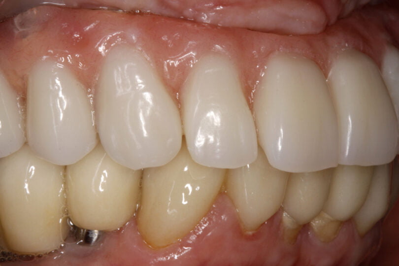
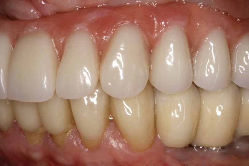
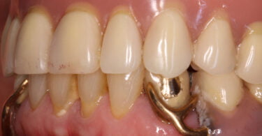
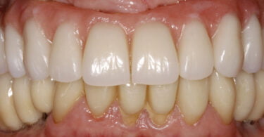
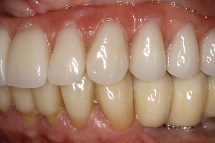
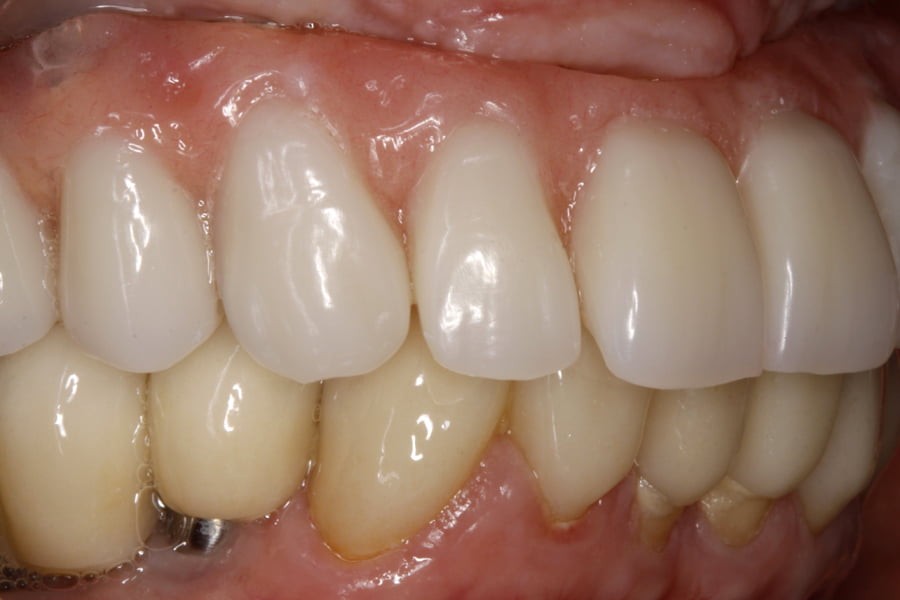
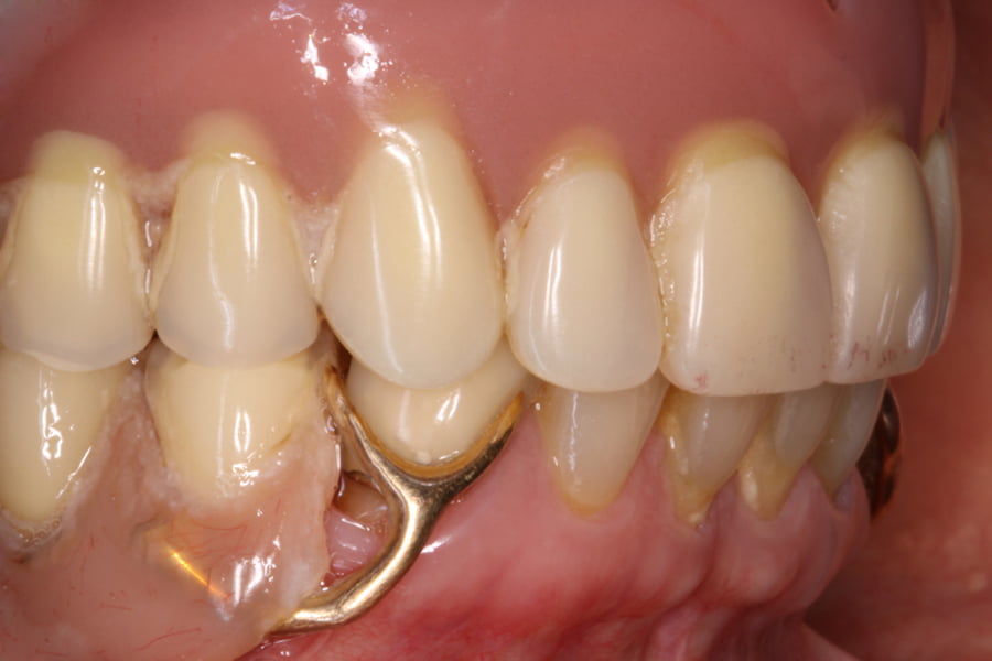
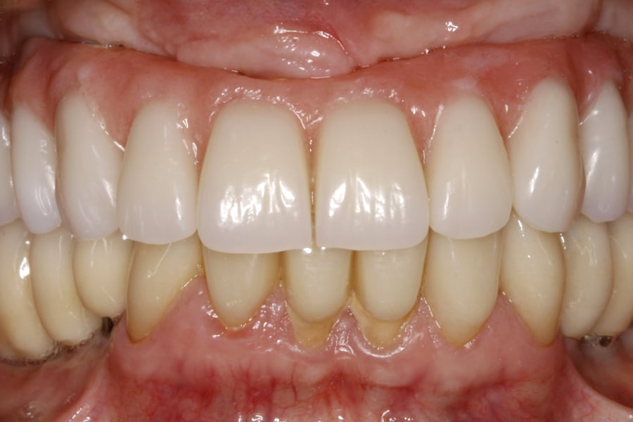
As seguintes imagens apresentam um dos casos incluídos no estudo (figura 03 – 15).
BIBLIOGRAFIA
1. Anitua E, Orive G. Short implants in maxillae
and mandibles: a retrospective study with
1 to 8 years of follow-up. J Periodontol
2010;81:819-826.
2. Atieh MA, Zadeh H, Stanford CM, Cooper
LF. Survival of short dental implants for
treatment of posterior partial edentulism:
a systematic review. Int J Oral Maxillofac
Implants 2012; 27: 1323-1331.
3. Thoma DS, Cha JK, Jung UW. Treatment
concepts for the posterior maxilla and
mandible: short implants versus long
implants in augmented bone. J Periodontal
Implant Sci. 2017;47:2-12
4. Anitua E, Flores J, Flores C, Alkhraisat
MH. Long-term Outcomes of Immediate
Loading of Short Implants: A Controlled
Retrospective Cohort Study. Int J Oral
Maxillofac Implants. 2016;31:1360-1366.
5. Anitua E, Piñas L, Begoña L, Orive G. Longterm
retrospective evaluation of short
implants in the posterior areas: clinical
results after 10-12 years. J Clin
Periodontol. 2014;41:404-11.
6. Annibali S, Cristalli MP, Dell’Aquila D,
Bignozzi I, La Monaca G, Pilloni A.
Short dental implants: a systematic review. J
Dent Res. 2012;91:25-32.
7. Shillingburg HT, Hobo S, Whitsett LD, et al:
Fundamentals of fixed prosthodontics (3rd
ed). Chicago, IL, Quintessence Pub- lishing,
1997, pp 119-137
8. Nissan J, Ghelfan O, Gross O, Priel I,
Gross M, Chaushu G. The effect of crown/
implant ratio and crown height space on
stress distribution in unsplinted implant
supporting restorations. J Oral Maxillofac
Surg 69:1934-1939, 2011
9. Nissan J, Ghelfan O, Gross O, Priel I, Gross
M, Chaushu G. The effect of splinting
implant-supported restorations on stress
distribution of different crown-implant
ratios and crown height spaces. J Oral
Maxillofac Surg 69:2990-2994, 2011
10.Misch CE, Goodacre CJ, Finley JM, et
al. Consensus conference panel report:
crown-height space guidelines for
implant dentistry—part 2. Implant Dent.
2006;15:113-121
11. Anitua E, Alkhraist MH, Piñas L, Begoña
L, Orive G. Implant survival and crestal
bone loss around extra-short implants
supporting a fixed denture: the effect of
crown height space, crown-to-implant ratio,
and offset placement of the prosthesis.
Int J Oral Maxillofac Implants. 2014 May-
Jun;29(3):682-9.
12. Anitua E, Piñas L, Orive G. Retrospective
study of short and extra-short implants
placed in posterior regions: influence of
crown-to-implant ratio on marginal bone
loss. Clin Implant Dent Relat Res. 2015
Feb;17(1):102-10.
*Caso clínico publicado originalmente na edição de janeiro-fevereiro de 2020 da revista SAÚDE ORAL.







































