A medicina dentária sofreu, nos últimos anos, profundas mudanças com a integração do mundo digital nos processos de avaliação e diagnóstico1,2,9 e nos processos de produção laboratorial. Mais especificamente na reabilitação da chamada “área estética”, esta integração teve como consequência direta uma melhoria da comunicação com os pacientes e com os técnicos de laboratório, resultando numa maior previsibilidade dos resultados estéticos. 1,2,9 No entanto, não obstante os constantes avanços tecnológicos, a escolha de tratamentos orientados para a máxima conservação das estruturas dentárias deve figurar como a base do exercício da medicina dentária, no melhor interesse e saúde do paciente.
O caso clínico apresentado procurará realçar a importância da tomada decisão e orientação do plano de tratamento e da execução clínica multidisciplinar, de extrema relevância para o resultado estético final. Este caso clínico diz respeito ao tratamento da dentição antero-superior de um paciente do sexo masculino de 25 anos de idade, numa perspetiva minimamente invasiva e multidisciplinar. O paciente foi visto pela primeira vez há cerca de 8 anos, por indicação de um colega ortodontista. Na altura, o colega deu indicação de encerramento de um diastema mesial, presente no final do tratamento ortodôntico, entre o dente 12 e 11.

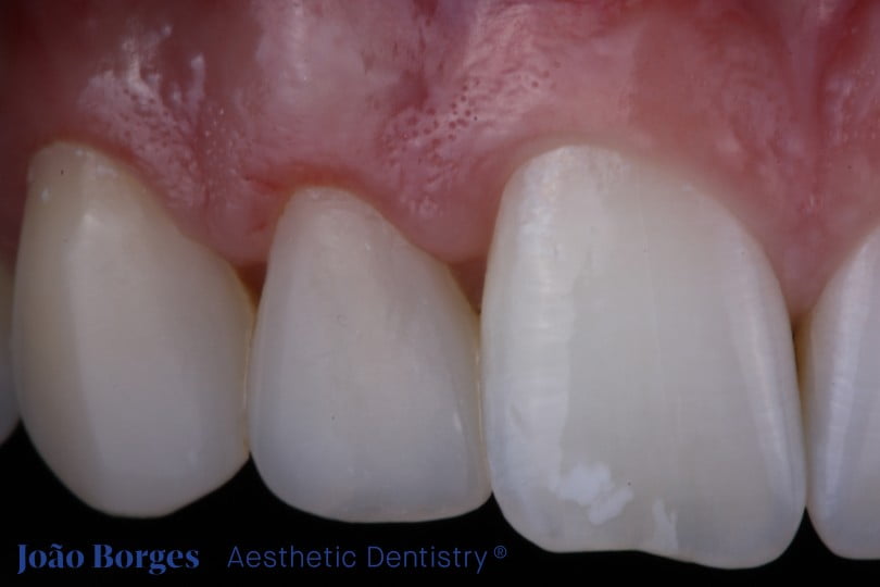
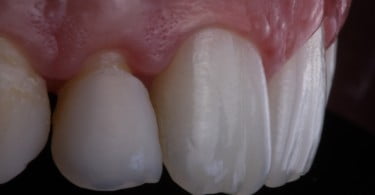
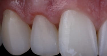
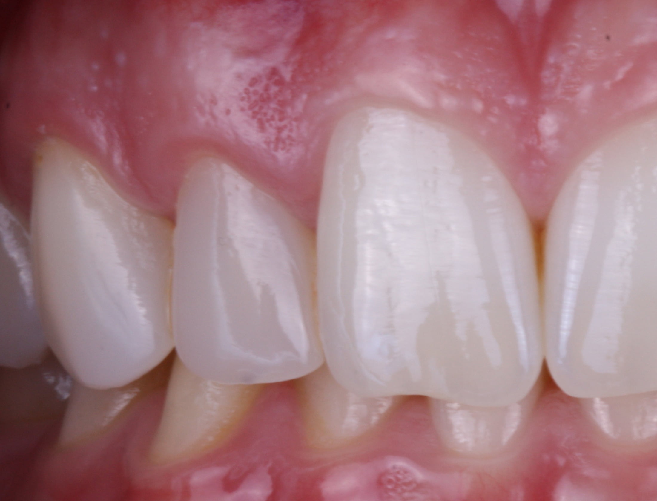
Fig 1: Inicial | Fig 2: Mock-up | Fig 3: 10 dias post-op | Fig 4: Final – 10 dias após as restaurações | Fig 5: Final – 1 ano após as restaurações
Nessa mesma consulta, o paciente mostrou-se descontente com a estética geral do seu sorriso mas, após ser informado acerca das possibilidades de tratamento, preferiu tratar exclusivamente o diastema e duas lesões de cárie que apresentava em vestibular dos dentes 13 e 23. Dada a idade do paciente, a saúde geral da dentição, a componente aditiva e não subtrativa de estruturas do ato clínico e, sobretudo, a indefinição em relação a futuros atos médicos nestes mesmos dentes, optámos por realizar todos os tratamentos propostos por meio de restaurações diretas a compósito. Apesar do dente 12 ter indicação para o tratamento com facetas em cerâmica5, 7, 8, a eventual necessidade de retratar no futuro estes dentes levou-nos a optar, nesta fase, por uma solução menos onerosa.
Passados 8 anos, o paciente voltou à consulta apresentando novamente queixas estéticas relacionadas com os seus dentes antero-superiores (Fig. 1, 6 e 11). Após a avaliação estética inicial dos dentes 13 a 235, 7, foi possível diagnosticar a presença de incorreções nos níveis gengivais, nos eixos dentários, nas segundas inclinações dos dentes (nomeadamente 13, 12, 22 e 23), nos ângulos interincisais, nas proporções altura / largura e ainda na cor dos dentes. Posto isto, tendo em vista a máxima conservação de estruturas, a procura de tratamentos reversíveis e reparáveis ao longo do tempo e o comprovado sucesso clínico a longo-prazo,3,4,6, foi proposta a correção estética do 2º sextante novamente por meio de facetas diretas a compósito.
Nesse sentido, o tratamento iniciou-se por um estudo fotográfico mais pormenorizado,1, 2, 9, a que se seguiu um enceramento laboratorial projetando a nova situação estética antero-superior. Foi então executada uma chave em silicone que permitiu transferir a informação existente no enceramento e avaliar, em conjunto com o paciente, as melhorias estéticas conseguidas, aprovando desta forma o plano de tratamento proposto. Além de permitir uma visualização antecipada do resultado final, o “mock-up” (Fig. 2, 7 e 12) permitiu ainda complementar a comunicação com a equipa de cirurgia, nomeadamente no que diz respeito à correção das margens gengivais.

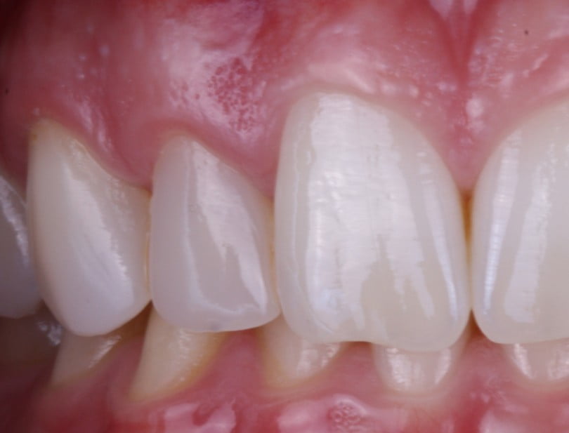
Fig 6: Inicial sorriso | Fig 7: Mock-up sorriso | Fig 8: 10 dias post-op sorriso
Assim, na primeira fase do tratamento, procedeu-se ao alongamento coronário dos dentes 13 e 12 (com redução do volume ósseo vestibular ao nível do dente 13) e à gengivectomia do dente 21. Após 10 dias de pós-operatório procedeu-se à remoção de suturas e controle tecidular (Fig. 3, 8, 13, 16 e 17). Tendo-se verificado uma correta cicatrização das zonas gengivais, o paciente iniciou então o branqueamento externo em ambulatório bimaxilar com peróxido de hidrogénio numa concentração de 16% (Opalescence 16%®) que se estendeu durante um período de 3 semanas.
A conclusão do branqueamento e o atingir da cor pretendida, cor A1, permitiu dar seguimento ao plano de tratamento e concluí-lo com a execução de facetas diretas a compósito nos dentes 13, 12, 22 e 23 (Fig. 4, 9, 14 e 18), tendo sido utilizados para o efeito os compósitos Enamel HRi® (cores: UD2, UD1, UE2, UE3, OBN, IW). Por forma a seguir o enceramento previamente executado, nomeadamente o correto posicionamento dos bordos incisais, foi utilizada uma matriz de silicone, que permitiu ainda guiar o posicionamento correto dos pontos de contacto, posicionamento esse crucial para o correto crescimento, maturação e localização final das papilas interdentárias.
As fotografias finais (Fig. 5, 10, 15 e 19), tiradas 1 ano após a conclusão do tratamento, permitem-nos verificar não só a melhoria do aspeto estético geral, conseguido sobretudo graças ao equilíbrio de proporções dentárias e ao reposicionamento gengival, como também a estabilidade da cor e brilho das facetas a compósito, validando-as uma vez mais como opção de tratamento.
Em conclusão podemos dizer que, ao optarmos por um tratamento aditivo no qual utilizamos compósito, estamos não só a conservar a totalidade das estruturas dentárias existentes, como estamos a permitir toda e qualquer correção futura (como nos casos de fraturas). Desta forma mantemo-nos fiéis à perspetiva minimamente invasiva dos tratamentos que executamos em medicina dentária estética, associando materiais e técnicas com sucesso comprovado a médio/longo-prazo.
“Simplicity is the ultimate form of sophistication” – Leonardo da Vinci
Autores:

João Borges
Licenciado em medicina dentária pela FMDUL
Pós-graduação em Estética Dentária pela UIC – Barcelona
Mestrado de investigação em adesão dentária e biomateriais pela UIC – Barcelona
Professor convidado do Mestrado Oficial de Reabilitação e Estética, UIC – Barcelona
Prática exclusiva em dentisteria e reabilitação oral desde 2004

Joana Rodrigues
Mestrado integrado pelo Instituto Superior de Ciências da Saúde Egas Moniz

Nuno Bangola
Licenciado em medicina dentária pelo Instituto Superior de Ciências da Saúde Egas Moniz
Diploma universitário em periodontologia pela Universidade Complutense – Madrid
Master em cirurgia oral e implantologia pela EFHRE – Barcelona
Prática exclusiva em cirurgia oral e implantologia desde 2006
Bibliografia:
- Coachman, C., Van Dooren, E., Gurel G., Landsberg, C.J., Calamita, M.A., Bichacho, N. Smile design: from digital treatment planning to clinical reality. In: Cohen M (ed). Interdisciplinary Treatment Planning. Vol 2: Comprehensive Case Studies. Chicago: Quintessence, 2012: 119-174.
- Coachman, C., Calamita, M. Digital smile design: a tool for treatment planning and communication in aesthetic dentistry. Quintessence Dent Technol, 2012.
- Coelho-de-Souza FH, Gonçalves DS, Sales MP, Erhardt MC, Corrêa MB, Opdam NJ, Demarco FF. Direct anterior composite veneers in vital and non-vital teeth: a retrospective clinical evaluation. J Dent. 2015 Nov;43(11):1330-6.
- Gomes G1, Perdigão J. Prefabricated composite resin veneers–a clinical review. J Esthet Restor Dent. 2014 Sep-Oct;26(5):302-13.
- Gurel, G. Predictable and precise tooth preparation techniques for porcelain laminate veneers in complex cases. Int. Dent. SA. 2007; 9(1): 30-40.
- Lewis MW, Braxton AD, Wasson W. Prefabricated Composite Veneers. A Conservative Solution for the Aesthetic Zone. Dent Today. 2015 Aug;34(8):100-2.
- Magne, P., Belser, U. Bonded Porcelain Restorations in the Anterior Dentition: A Biomimetic Approach. Chicago: Quintessence, 2002.
- Pini, N.P., Aguiar, F.H.B., Lima, D.A., Lovadino, J.R., Terada, R.S., Pascotto, R.C. Advances in dental veneers: materials, applications and techniques. Clinical, cosmetic and investigational dentistry. 2012; 4(10): 9-16.
- Trushkowsky R, Arias DM, David S. Digital Smile Design concept delineates the final potential result of crown lengthening and porcelain veneers to correct a gummy smile. Int J Esthet Dent. 2016 Autumn;11(3):338-54.























