Quantcast
Medicina Dentária

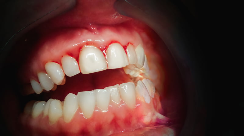
Doenças da gengiva afetam oito em cada dez adultos

Doenças da gengiva afetam oito em cada dez adultos

O Dia Europeu da Saúde das Gengivas celebrou-se a 12 de maio com o objetivo de consciencializar para aquela que é uma das doenças mais comuns em adultos. A Federação Europeia de Periodontologia (EFP) juntou-se a associações de periodontologia de 45 países para lembrar que uma má saúde oral tem impacto na saúde global, publicando um manifesto que pede aos profissionais de saúde que “atuem no plano da prevenção”.

De acordo com dados da federação europeia, as doenças da gengiva afetam oito em cada dez pessoas com mais de 35 anos, sendo uma das principais causas da perda de dentes em adultos e, consequentemente, de problemas de nutrição, perda de qualidade de vida e autoestima.

Sabe-se já que as doenças da gengiva levam ao aumento da prevalência de doenças cardiovasculares, da diabetes, da doença renal crónica e da artrite reumatoide. A EFP pede, assim, a todos os profissionais de medicina dentária que assinem o manifesto, e defende que “é fundamental mudar a perceção em relação às responsabilidades dos profissionais de saúde oral no que diz respeito à saúde global dos pacientes”.

“As necessidades dos pacientes só serão respondidas através do desenvolvimento colaborativo entre as comunidades médica e médico-dentária e da aplicação de abordagens multidisciplinares e códigos de boas práticas para o tratamento dos pacientes”, acrescenta.

Lior Shapira, coordenador das celebrações do Dia Europeu da Saúde das Gengivas, explica ainda que o slogan ‘Gengivas saudáveis, sorriso bonito’ foi escolhido “porque, atualmente, as pessoas dão muita atenção à sua imagem, mas não fazem ideia de que as doenças da gengiva a podem arruinar para sempre. A saúde das gengivas tem impacto na saúde, mas a estética não deve ser ignorada, uma vez que é uma parte importante da nossa saúde mental”.

Este site oferece conteúdo especializado. É profissional de saúde oral?