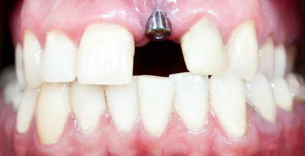
“Os implantes dentários podem parecer a forma perfeita de reconstruir o sorriso de um paciente, mas como qualquer outro tratamento dentário há riscos envolvidos e as coisas podem não correr como planeado”, explica Leo Briggs, conselheiro jurídico da Dental Defence Union.
Um total de 311 reclamações recebidas pela DDU entre 2004 e 2013 estavam precisamente relacionadas com implantes dentários. Destas, 115 chegaram a acordo de indeminização por uma média de 34 mil libras, com uma das reclamações a receber 200 mil libras.
Segundo o estudo, a causa mais comum das reclamações é “falha do tratamento”, com cerca de um terço das reclamações a citar esta razão. ‘Tratamento insatisfatório’ foi a segunda razão mais comum (17%).


