Quantcast
Produtos

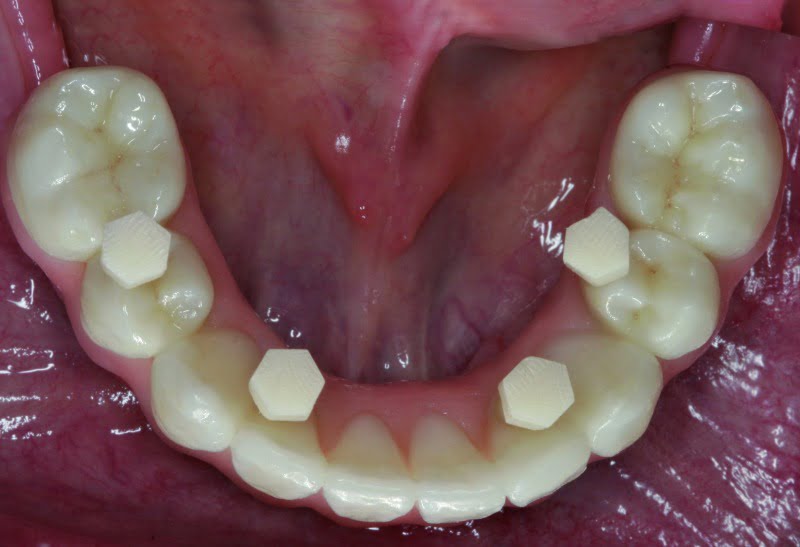
Zirkonzahn lança novos parafusos de selagem

Parafusos de selagem Zirkonzhan

A Zirkonzahn apresentou novos parafusos de selagem para restaurações de parafuso oclusal em zircónia.

De acordo com a empresa, “as restaurações em zircónia de parafuso oclusal suportadas por implante são frequentemente seladas com algodão e plástico líquido polimerizador na boca do paciente”.

“As restaurações em zircónia já são preparadas no laboratório e, com a ajuda da fresa Zirkonzahn, trazem canais de parafusos roscados, podendo ser posteriormente fechados com parafusos especiais de selagem. Se for necessário remover a restauração, os parafusos de plástico são retirados em pouco tempo, com um extrator fixado na turbina”, acrescenta a empresa.

A Zirkonzahn diz também que “a rosca exerce uma pressão no parafuso do implante em sentido contrário, o que assegura estabilidade adicional.”

Este site oferece conteúdo especializado. É profissional de saúde oral?