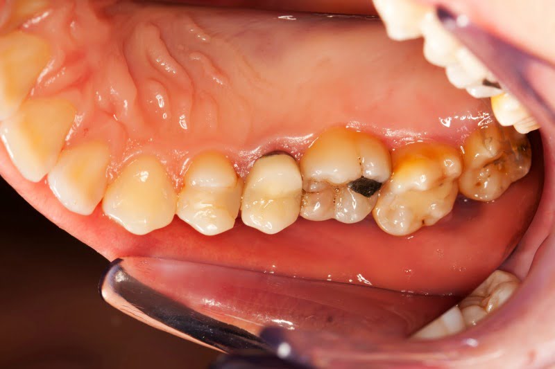
O investigador Robert Hill, do Instituto de Dentisteria da Universidade Queen Mary de Londres, apresentou recentemente um estudo que indica que os compósitos utilizados nas obturações dentárias podem ajudar a reparar as cáries dentárias. Segundo os dados apresentados pelo cientista, estes compósitos com o potencial de reparar as cáries dentárias podem ajudar a prolongar a vida das obturações dentárias e reduzir a utilização de amálgamas à base de mercúrio.
O estudo do investigador britânico foca-se nos compósitos de vidro bioativo e indica que este novo material “é único na sua capacidade para libertar fluoreto assim como quantidades significativas de cálcio e fosfatos que são necessários pra formar minerais nos dentes”.
Além disso, de acordo com o cientista, os compósitos dentários atualmente usados nas obturações dentárias incluem materiais inertes, mas os novos biomateriais à base de compósitos de vidro bioativos “mostram interagir positivamente como o organismo fornecendo minerais que substituem os minerais perdidos devido às cáries dentárias”.
O compósito analisado pelo investigador já foi licenciado pela empresa BioMin Technologies, que revela que a tecnologia está a ser alvo de interesse por muitas empresas. De acordo com Richard Whatley, CEO da companhia, “usar este tipo de compósito de vidro bioativo para obturações dentárias elimina a necessidade de utilização de amálgamas à base de mercúrio ao mesmo tempo que se oferece um compósito estético que ajuda a tratar o dente”.


