Um grupo de investigadores de Medicina Dentária da Faculdade de Medicina da Universidade de Coimbra desenvolveu células semelhantes às células estaminais a partir de fibroblastos gengivais para serem utilizadas na Medicina Dentária Regenerativa.
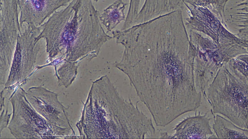
De acordo com a Universidade de Coimbra, esta investigação liderada por Eunice Carrilho recorreu a uma técnica de desdiferenciação celular, que consiste em utilizar células adultas e especializadas de um tecido e revertê-las a um estado próximo do estaminal em que as células têm a capacidade de se diferenciar em praticamente todos os tecidos do organismo.
“A perda total ou parcial de dentes por doenças da cavidade oral, como cáries, traumatismos ou doenças gengivais, representa um problema de saúde a nível mundial. Embora a medicina dentária disponha de materiais sintéticos, estes ainda não conseguem substituir todas as funções de um dente natural, pelo que se acredita que o futuro passa por conseguirmos regenerar o dente e os seus tecidos em vez de os substituir por materiais sintéticos”, explica Miguel Marto, investigador envolvido no projeto.
“A medicina dentária regenerativa procura, através da seleção e recolha de células estaminais, regenerar os tecidos perdidos, mas obter estas células apresenta várias dificuldades”, acrescenta.
Segundo os investigadores, este projeto de investigação vem, assim, responder “ao desafio de obter células semelhantes às células estaminais para serem utilizadas na medicina dentária regenerativa. Neste projeto utilizamos fibroblastos gengivais que são fáceis de colher numa consulta médico-dentária”.
O objetivo é que as células obtidas possam depois ser utilizadas para dar origem a células próprias do dente, como os odontoblastos, que formam a dentina, o principal tecido duro dentário.
Esta não é a primeira vez que a utilização de células estaminais é estudada no campo da medicina dentária. Em 2015, por exemplo, um grupo de investigadores do Inserm e da Universidade Paris Descartes conseguiu isolar linhas de células estaminais dentárias e descrever o mecanismo natural através do qual estas reparam lesões dentárias.


