Quantcast
Investigação

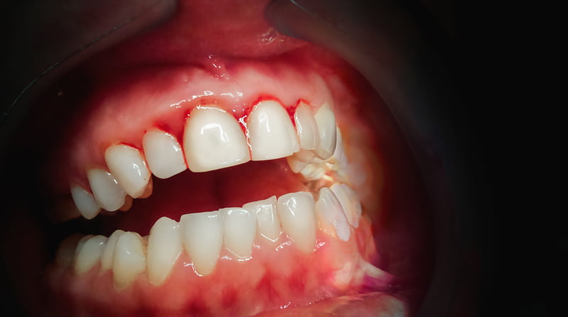
Periodontite volta a ser relacionada com a artrite reumatóide

Instituto Iron realiza formação de ‘Recobrimento Periodontal e Peri-implantar’

Já vários estudos tentarem demonstrar que pode existir uma relação direta entre a doença periodontal e a artrite reumatóide. Um estudo publicado pela Universidade de Leeds, do Reino Unido, volta a mostrar que existe uma relação entre as duas patologias.

De acordo com a investigação, a prevalência de doença periodontal aumenta em pacientes com artrite reumatóide, podendo mesmo ser um catalisador. O estudo contou com uma amostra de 48 indivíduos de risco, 26 pacientes com artrite reumatóide e 32 indivíduos saudáveis, que integraram um grupo de controlo.

Os resultados mostram que os anticorpos associados à artrite reumatóide estavam presentes no organismo ainda antes de qualquer evidência de doença articular, o que, segundo os investigadores, sugere que a patologia é originada de outra forma.

Os investigadores dizem também que “os nossos resultados suportam hipótese de que a inflamação local nas superfícies da mucosa, como as gengivas neste caso, podem ser o primeiro catalisador para a autoimunidade sistemática observada artrite reumatóide”.

Conheça o estudo em detalhe aqui.

Este site oferece conteúdo especializado. É profissional de saúde oral?