Facebook
Linkedin
Newsletter
Anunciar
Branded Content
Médicos Dentistas
Higienistas Orais
Técnicos Prótese Dentária
Insights
EDIÇÕES SO
EVENTOS
Conferências Saúde Oral
Prémios SO
Médicos Dentistas
Higienistas Orais
Técnicos Prótese Dentária
Insights
EDIÇÕES SO
EVENTOS
Conferências Saúde Oral
Prémios SO
Sobre - amálgamas dentárias
Clínicas Dentárias
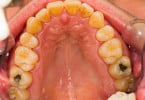
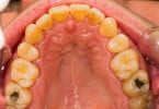
Caso clínico: Remoção segura de Amálgamas Dentárias
Saúde Oral
ONG cria ‘guia’ com recomendações para a redução da...
Saúde Oral
Utilização da amálgama dentária: restrições entram em...
Investigação
Estudo analisa viabilidade de alternativas às...
Investigação
O que afeta o sucesso de uma amálgama dentária?
Medicina dentária
Tratado global sobre o mercúrio entra em vigor
Saúde
Tratado global sobre o mercúrio entra em vigor
Amálgamas dentárias
Amálgamas dentárias: proibição total só será decidida...
Saúde Oral
É o ponto final nas amálgamas dentárias?
Medicina Dentária
Especialista defende que setor da medicina dentária...
Este site oferece conteúdo especializado.
É profissional de saúde oral?
Sim
Sair